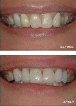
Smile makeovers are more than possible, especially with today’s modern dental technology and the advancements that our office is embracing. You’ll likely find yourself wondering why you didn’t do anything about your smile sooner when you discover just what a difference we can make in your pearly whites.
From closing gaps to whitening to even reshaping the look and feel of your smile, we can help you achieve a smile you’ll be proud to showcase. Take a look at some of our patients’ smile makeovers. The difference between the before and after is dazzling, highlighting a newfound confidence. Ready to talk about your goals for your own smile? Contact us today to schedule an appointment!
WE LOVE OUR PATIENTS
We appreciate the opportunity to provide you with the best possible service and treat you like family and we’re proud of the reviews we receive from our patients!
CONTACT US
CONTACT US













